川南在线 发布时间:2024-05-24
肝胆病科

国家区域中医(肝病)诊疗中心
国家中医优势专科建设单位
国家中医药管理局“十二五”重点专科
国家中医药管理局“十一五”重点专科(肝病)协作组成员单位
第二批国家中医临床研究基地拓展病种(原发性肝癌)研究承担科室
国家中医药管理局重点学科(中西医结合临床)亚学科
国家药物临床试验机构专业组(中医消化肝病)
四川省中医药管理局首批重点专科
四川省中医药重点学科(中医肝胆病学)
四川省中医肝病临床医学研究中心
四川省积病(原发性肝癌)中医药防治中心
四川省中医药管理局中医肝病医疗质量控制中心
四川省中医药防治肝病技术协作中心
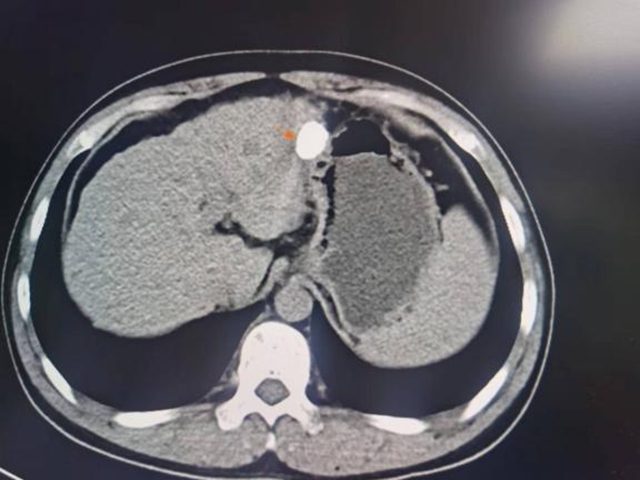
40多岁的解先生乙肝两对半异常有20余年了,2015年时在当地医院做CT检查提示:肝左外叶结节影,考虑为原发性肝癌。为寻求进一步诊治,解先生来到了西南医科大学附属中医医院就诊,肝胆病科医师接诊后为其完善了相关检查,确诊为原发性肝癌。
综合考量病情后,肝胆病科团队为解先生制定“肝动脉灌注化疗+超声引导下肝肿瘤消融”微创治疗方案。术前准备就绪后,肝胆病科团队顺利为其实施了手术,术后给予保肝降酶、抑酸护胃等处理,配合中医中药活血化瘀、疏肝解郁。而后定期随访复查,至今未发现肿瘤复发。

术前

术后
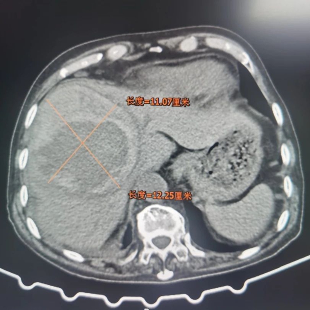
70多岁的喻大爷体检时发现肝脏占位性病变,刚开始并没有在意,谁知没过多久大爷开始出现肝区(右季肋部)疼痛,熬了几天实在受不了,喻大爷赶紧来到西南医科大学附属中医医院肝胆病科就诊。完善相关检查后,发现肿瘤达11.07cm*12.25cm,肿瘤指标略偏高,进一步经肝穿刺病检,最终确诊为原发性肝癌。
考虑到大爷肿瘤较大,且年龄较大,整体身体状态较差,肝胆病科团队为其实施了“肝动脉造影+灌注化疗栓塞术”,术后在西医治疗基础上口服中药制剂和枢消积丸,随后加入科室四川省科技厅重大专项研究中进行规范随访。4个月复查,喻大爷肿瘤已明显缩小至7.75cm*8.24cm。

术前

术后
对比肿瘤明显缩小
40岁的游女士肝右叶巨大恶性肿瘤(8.9cm*10.0cm)切除后复查发现:肝右叶前下段占位,考虑肿瘤局部复发可能性大,再次进行了“经导管肝动脉化疗栓塞术”。
术后复查:肝内散在斑状、结节及团块状碘油沉积,考虑肿瘤仍存在活性,科室又为其进一步实施了微创消融术。术后长期口服中药制剂和枢消积丸,并加入科室四川省科技厅重大专项研究中进行规范随访,定期复查。

微创消融治疗
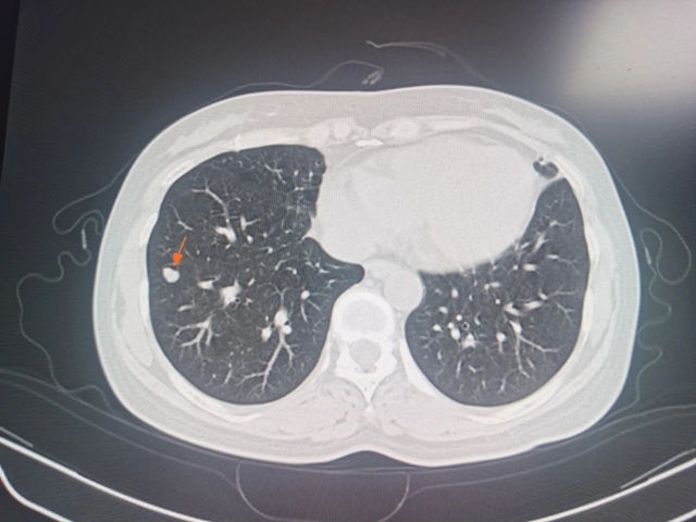
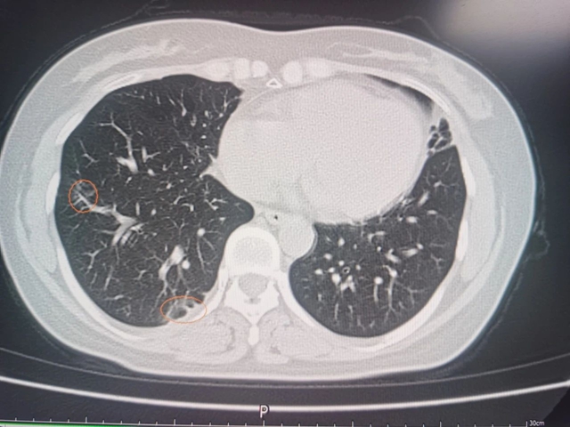
一年后复查,肝右前叶近肝缘小结节灶、肝右叶病灶内壁结节较前明显减小;但甲胎蛋白较前升高,通过胸部CT检查发现肺部两个实性结节,综合患者病情考虑肿瘤复发伴肺部转移,又为其实施了“CT引导下肝肿瘤肺转移灶微创消融术”,术后定期复查患者肝功能、甲胎蛋白均未见异常,病情稳定。


术前胸部CT

术后胸部CT
西南医科大学附属中医医院肝胆病科治疗原发性肝癌特色优势
中医药特色优势
西南医科大学附属中医医院肝胆病科传承全国名中医孙同郊教授“和调”思想,创新性提出原发性肝癌“调和枢机”治法,在原发性肝癌规范化治疗基础上充分发挥中医药特色优势,形成了《中西医结合防治原发性肝癌综合方案》,提高患者生存质量,延长生存期。

多学科联合诊疗(MDT)门诊
充分发挥中医药特色优势,牵头开设了中西医结合原发性肝癌多学科联合诊疗(MDT)门诊,由肝胆病科、肝胆胰外科、肿瘤·血液病科、放射影像科、超声影像科等多学科专家,对疑难患者进行综合诊断及治疗,可给不同分期及发展阶段的原发性肝癌患者制定规范化、个体化的中西医结合治疗方案。
西南医大中医院肝胆健康小助手
依托四川省科技厅重点项目资助研发的具有自主知识产权的登记随访系统“西南医大中医院肝胆健康小助手”,通过对原发性肝癌高危人群进行筛查标记,对原发性肝癌患者进行登记,形成高质量的随访,有助于肝癌的早发现、早诊断和早治疗。
专科制剂
和枢消积丸

功效:调和肝脾,固本消积。用于原发性肝癌肝脾失调,瘀热内结所致的口干、口苦、纳差、乏力、胁肋胀痛等症。
其他中医特色技术
1.疏肝通络膏中药塌渍

药物贴敷在体表,利用药物温热特性产生温经通络、行气活血、祛湿散寒等功效,从而达到治疗目的的一种中医外治法。
主治:病毒性肝炎、肝硬化、肝癌等慢性肝病引起的胁痛、腹痛、腹胀、胀闷不适等症状。
2.中药热奄包疗法

将加热后的药物用布包好,置于患者特定部位或穴位进行热敷,使药力和热力同时自体表毛窍透入经络,促进腠理疏通、经脉调和、气血运行,起到温经通络、活血化瘀、散寒止痛、祛瘀消肿的作用。
主治:各种慢性肝病引起的腹胀、腹痛、胁痛、肿胀、麻木等症。
肝脏是“沉默的器官”,除肝脏表面的包膜有神经外,肝脏里面是没有神经的,所以早期肝癌通常没有症状。如果不是定期复查,早期很难发现。
临床上常见的肝癌患者常常是因疼痛或肝外症状就诊,此时肝脏肿瘤往往已增大至数公分,甚至十几公分,已错失最佳的治疗时机。

以下这些情况要注意
1.疲乏
疲乏是肝癌最常见的症状,也是大多数人最容易忽略的症状。
2.恶心、腹胀、腹痛
很多肝癌患者出现此类症状时,常误认为是 “胃病”,其实这也可能是肝癌的早期症状。
3.低血糖症(头晕、乏力、出汗等)
肝脏损害严重时,有些人会出现明显的低血糖,表现为头晕、乏力、出汗等症状。
4.胸痛、咳嗽
肝脏与膈肌、胸膜毗邻,紧邻膈肌的肝癌可早期侵犯胸膜,出现反复性久治难愈的咳嗽或者胸痛。
5.进食口味改变
1/3略多的患者会出现口苦、厌油腻等症状。
6.特殊体征变化
早期肝癌常无明显体征,中晚期肝癌通常出现肝脏肿大、黄疸、腹水等合并肝硬化者常有肝掌、蜘蛛痣下肢水肿、男性乳房增大等。
一旦出现以上不适症状,应及时就医检查,做到早发现、早治疗。
(来源:西南医科大学附属中医医院)
编辑:李永鑫
关注川南在线网微信公众号
长按或扫描二维码 ,获取更多最新资讯
其他