川南在线 发布时间:2025-02-26
在西南医科大学附属中医医院口腔诊疗中心,经常会看到父母带着两三岁的宝宝来看牙。
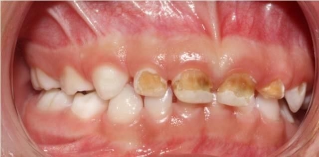
这些孩子乳牙还没长齐的已经变成了龋齿,而龋坏主要集中在患儿的上门牙和邻牙上,这些都是典型的“奶瓶龋”症状。


喜欢含奶瓶睡觉,患“奶瓶龋”
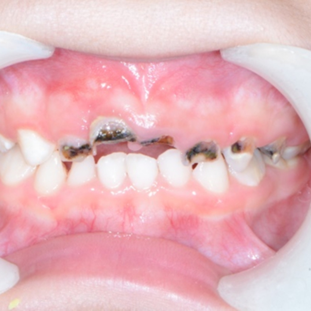
才4岁的小饼干,从小就喜欢含着奶瓶入睡,结果导致小乳牙变成了一口黄牙,大半牙齿都被龋坏,牙龈红肿、牙齿发黑,一吃东西就疼得直哭,小朋友在治疗过程中也不好好配合,只好选择“全麻下儿童口腔舒适化治疗”。
据口腔诊疗中心黄丹医师介绍:“由于乳牙的钙化程度低,因此患龋后病情进展迅速,破坏面积广,并且治疗效果差。”从出生到5岁前,宝宝致龋率高达70%,而含着奶瓶睡觉等习惯都容易诱发宝宝的“奶瓶龋” 。
孩子含着奶嘴睡觉,牙齿长期浸泡在含糖的奶里,容易被口腔里的致龋菌腐蚀,就形成奶瓶龋。表现为上颌乳切牙(即门牙)的唇侧面,及邻面的大面积龋坏,牙齿患龋病后不能自愈(即不能再长好)。
奶瓶龋大多发生在2-4岁的孩子身上。预防“奶瓶龋”,要及早纠正孩子的吃奶习惯,戒掉边睡边吃,每天及时清洁口腔,定期检查牙齿。

吃奶后不漱口不刷牙,出现“奶瓶龋”
5岁的花花,吃奶后不漱口不刷牙,有时候会喊着牙疼,花花妈妈认为是因为她正在换乳牙导致的,换好了就会好的,也没有重视牙齿保护。
这也是很多家长的误区:乳牙不会跟孩子一生,等换牙后再好好刷牙也不迟。
黄丹医师提醒:“奶瓶龋”不仅会造成牙痛,放任不管还可能发展成牙髓炎、牙槽脓肿等疾病。有些“奶瓶龋”发展到无法治疗时,会将乳牙拔除,乳牙早失,会影响孩子面部整体美观和语言发音。
所以,一旦乳牙萌出,就应开始刷牙,无法自主刷牙的孩子可由家长用湿纱布或软毛牙刷辅助清洁。

乳牙是人体最开始萌出的牙齿,也是人体的第一副牙齿。它们通常在婴儿出生后的6个月开始萌出,到3岁左右逐渐萌出完毕,共有20颗,乳牙的颜色通常为乳白色。
恒牙是人体萌出的第二副牙齿,它们在乳牙脱落后开始萌出。恒牙的颜色微微发黄,数量共有28~32颗。人体在6岁左右开始萌出第一颗恒牙,到12岁左右恒牙萌出完毕,此后恒牙将不会再次更换,成为口腔内固定不变的牙齿。

预防奶瓶龋的关键在于:
1.及时断奶瓶:建议孩子在1岁半左右逐渐脱离奶瓶,改用水杯饮水。
2.建立良好口腔卫生习惯:一旦乳牙萌出,就应开始刷牙,无法自主刷牙的孩子可由家长用湿纱布或软毛牙刷辅助清洁。
3.限制夜间进食:避免夜间喂奶或含糖食物,若需进食,应确保进食之后及时清洁口腔。
4.定期检查:带孩子定期去口腔科检查,及早发现并处理潜在的龋齿问题。

除了预防奶瓶龋,在孩子换牙期,这些习惯也要及时纠正:
1.吮指
吮拇指或食指,常会引起上前牙前凸形成前牙深覆盖。
2.吐舌
吐舌习惯多发于替牙期,可能造成上下牙咬不拢。
3.咬唇
吮拇指或食指,常会引起上前牙前凸,形成前牙深覆盖。
4.张口呼吸
张口呼吸容易导致牙弓缩窄,上前牙前凸,患儿的颜面表现开唇露齿。

换牙期的口腔保健要点
1.乳牙有龋坏,要尽早治疗
龋齿对儿童生长发育造成的危害不容小觑。它会影响牙颌系统的发育,造成后天畸形。
2.口腔清洁要从出生开始做
清洁牙齿是儿童口腔保健的重要内容,也是预防蛀牙和牙跟炎的基本手段。宝宝从出生后,就需要进行口腔清洁。粑粑麻麻们可用干净的棉沙布沾温水后温柔擦拭宝宝舌头及牙根表面的奶渍。
3.涂氟预防龋病
儿童牙齿涂氟是有效的防龋方法。利用氟保护剂使牙齿表面和缝隙附着氟保护剂,释放氟化物,从而达到预防龋齿的目的。三岁以上的儿童,能够完全控制吞咽以后,可以由口腔专业人员为其进行涂氟防龋。
家长们要做好儿童口腔保健。宝宝第一颗乳牙萌出后,每半年到专业的口腔医疗机构检查牙齿,请牙医帮助判断牙齿萌出情况,评估牙齿患龋病的风险。早预防、早发现、早治疗。

黄丹
主治医师
口腔诊疗中心
硕士研究生,四川省口腔医学会牙体牙髓专委会会员,曾于重庆医科大学附属口腔医院进修儿童口腔专业(主修舒适化儿童口腔治疗及儿童早期矫治),擅长口内、口外及儿童牙病舒适化口腔治疗。
城北门诊时间:周二、三、四、五、日全天
(来源:西南医科大学附属中医医院)
编辑:李永鑫
关注川南在线网微信公众号
长按或扫描二维码 ,获取更多最新资讯
其他