川南在线 发布时间:2025-12-11
“医生,我检查发现双肺有十多个结节!是不是得了肺癌?”

下面这个病例,告诉您该如何科学面对双肺多发磨玻璃结节。
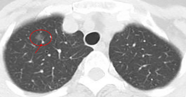
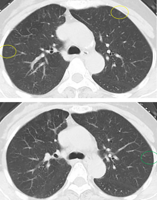
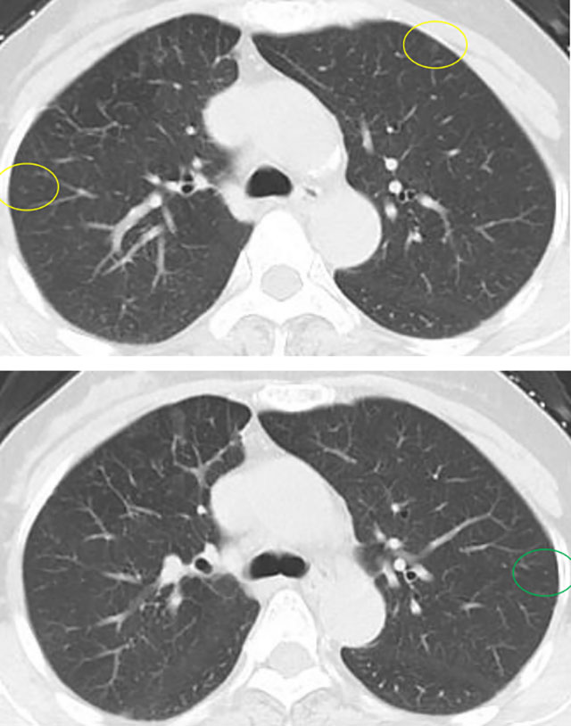
几年前,一位阿姨体检发现双肺多发10余个磨玻璃结节,最大位于右肺上叶,约9mm。当时判断:多为低风险,医生建议半年随访。
几年前影像展示与分析,5mm层厚、无薄层。






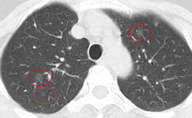
上图中红色圈原位癌可能性较大,尤其右肺上叶尖段二个结节,可见血管增粗及血管弯5mm层厚,无薄层重建;橙色圈多考虑不典型增生可能性大;黄色圈大概只是肺泡上皮增生;绿色圈考虑是良性的。
从此,肺结节成了阿姨新的“心结”:是不是恶性肿瘤?要不要切?
最终,阿姨还是决定前往医院进行右肺上叶全切术。术后病理证实:三枚结节为原位癌(最早期的肺癌)
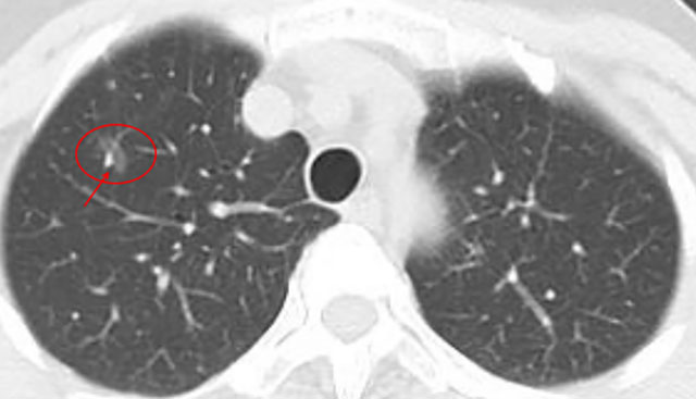
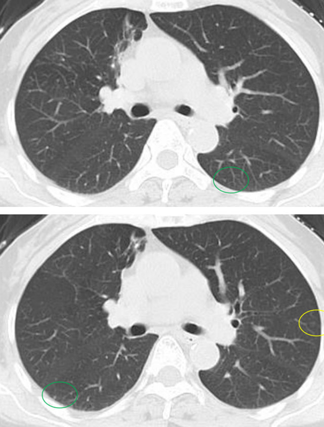
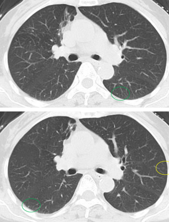
近期,阿姨复查影像展示与分析,1mm层薄层。


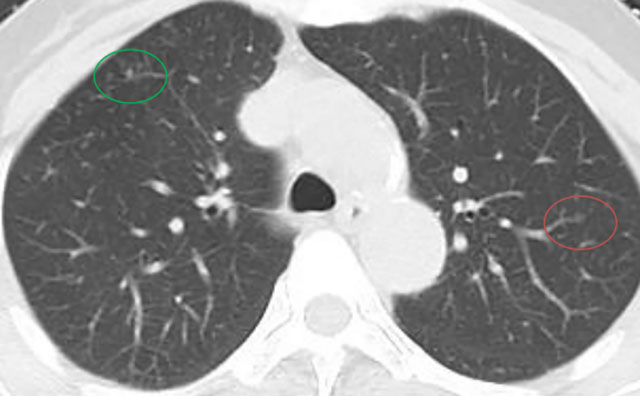
与术前及每年复查片对比,阿姨双肺多发磨玻璃结节,均未见显著改变,左肺上叶前段主病灶亦如此,密度很纯,未见增大及实性成分出现,术后5年虽可见血管弯曲,进展极慢,风险还是相对较低,且右肺上叶已经全切除。双肺多发相对较小磨玻璃密度结节,并且进展极慢、仍纯磨密度。该病灶目前没有必须到手术干预程度,只需6-12月复查随访,若有进展并要有风险增加时再考虑干预处理。
重要认知:磨玻璃结节 ≠ 马上手术
1. 磨玻璃结节的“真面目”
多数生长极其缓慢:像树懒一样“懒”;
有很长的观察窗口期:通常以年为单位变化;
危害性低:尤其是纯磨玻璃结节。
2. 传统治疗方法的三大问题
过度切除:为几个小结节切除整个肺叶;
无法根除:多发结节切不完;无法预防:
切了旧的,新的还可能长。
科学应对“四步法”
第一步:正确评估(让专业医生判断)
第二步:理性随访(给结节“观察期”)
低危结节:6-12个月复查一次CT;
中危结节:3-6个月复查一次。
第三步:适时干预(需要时才处理)
如果结节真的进展了
现代医学提供了多种微创选择
楔形切除:只切小结节周围小部分肺组织;
消融治疗:用热或冷“烧掉/冻掉”结节;
立体定向放疗:精准放射治疗。
第四步:心理调适(与结节和平共处)接受“带结节生存”的现实,避免过度焦虑,建立健康生活方式。
温馨提示
如果您或家人发现肺结节:不要恐慌,大多数是良性的或低危的。带上所有CT片和报告,找专业医生评估,制定科学的随访计划,回归正常生活,不要焦虑。盲目手术反而可能造成不必要的损伤。让我们用理性的眼睛,看待这些肺里的小影子。

朱大林|副主任医师
专业从事DR、CT及MRI影像诊断工作20余年,有着丰富的阅片经验。专注于胸部心血管系统及骨骼肌肉系统影像学诊断,尤其对肺部小结节及各种肺部肿瘤病变有较高的认识和鉴别能力。
(来源:合江县中医医院)
编辑:肖昂
关注川南在线网微信公众号
长按或扫描二维码 ,获取更多最新资讯
其他