川南在线 发布时间:2025-12-17
“腰上挂着尿袋,洗澡不敢沾水,睡觉怕压到管子,活着太遭罪了……”58 岁的李女士曾以为,宫颈癌复发后,这就是她余生的常态。直到覆膜支架的出现,才为她打通了堵塞的 “生命之渠”,让她重新找回正常生活。
癌症复发,“生命管道” 被堵
58岁的李女士是一位宫颈癌患者,尽管经过了积极治疗,但病情还是出现了新情况。最近,她因为严重的腰背胀痛和无法排尿入院检查。CT检查结果显示,她的双侧输尿管都被复发的肿瘤压迫,导致了严重的肾积水和急性肾衰竭。肌酐指标飙升,生命危在旦夕。
医生迅速为她放置了传统的输尿管支架(也叫“DJ管”或“双J管”)来引流尿液。然而,问题接踵而至:由于肿瘤的持续压迫和侵犯,普通的支架管腔很快就被压瘪了,引流效果不佳。更糟糕的是,肿瘤组织还沿着支架网眼长入了管腔内部,造成了再次堵塞。
医生尝试了另一种方法:经皮肾造瘘。即在腰部打一个洞,直接插入一根导管到肾脏引流尿液。这种方法虽然有效,但李女士的生活质量急剧下降:腰间永远挂着一个尿袋,需要定期更换,且造瘘口存在感染、出血和导管脱落的风险。原本就因疾病而身心俱疲的李女士,变得更加消沉。
“穿防护服” 的支架成了破局关键
就在她和家人感到绝望之时,泌尿外科的医生提出了一个新的解决方案:使用覆膜支架进行输尿管成形术。这根看似普通的支架,其实藏着 “黑科技”,可以把它想象成一根高级的、“穿上了防护服”的输尿管支架。
传统支架是一根中空的、带有许多网眼的塑料管。在肿瘤压迫下容易塌陷,且肿瘤细胞容易通过网眼“钻”进去,造成堵塞,而覆膜支架在传统支架的外面,覆盖了一层特殊的高分子生物薄膜。

这层“防护服”带来的优势:
抗压迫:覆膜结构提供了更强的径向支撑力,能有效抵抗外部肿瘤的挤压,保持管腔通畅。
防浸润:光滑的覆膜屏障,能有效阻止肿瘤组织向管腔内生长,从根本上解决了再堵塞的问题。
长期通畅:正因为上述两点,它的有效引流时间远超传统支架,能为患者赢得更长的生存时间。
微创手术后,她终于告别尿袋
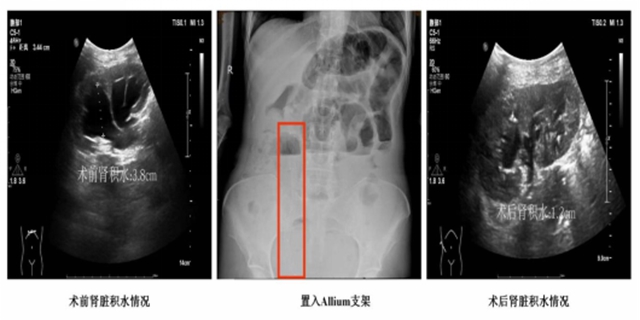
手术在微创内镜下进行。医生通过膀胱镜,精准地将堵塞的旧支架取出,然后将新的覆膜支架沿导丝置入到被肿瘤堵塞的输尿管段。整个过程创伤小,恢复快,效果立竿见影。

术后当天, 李女士的尿液就通过支架顺畅地流入膀胱,腰背剧痛迅速缓解;术后三天, 她的肾功能指标(肌酐)逐步下降至接近正常水平。最关键的是, 她腰间的肾造瘘管被成功拔除!她终于可以自由地洗澡、翻身,不再需要时刻担心身上的导管。
出院后, 李女士的生活质量得到了巨大提升。她能够更好地接受后续的肿瘤治疗,也有了更多与家人相处的宝贵时光。在后续的复查中,支架位置良好,引流通畅,没有再发生堵塞。
对于宫颈癌、结直肠癌、前列腺癌等晚期癌症患者来说,肿瘤压迫或侵犯输尿管导致的 “恶性输尿管梗阻”,是常见的棘手问题。一旦输尿管堵塞,肾脏积水会逐渐损伤肾功能,最终可能引发肾衰竭,危及生命。
传统治疗要么容易堵塞,要么严重影响生活质量,而覆膜支架就像精准的 “管道工程师”,凭借超强支撑力和防肿瘤浸润的优势,既能有效引流尿液、保护肾功能,又能帮患者摆脱造瘘管的困扰,提升生活质量,为后续治疗赢得宝贵时间。

刘鑫
主治医师
泌尿外科
(来源:西南医科大学附属中医医院)
编辑:李永鑫
关注川南在线网微信公众号
长按或扫描二维码 ,获取更多最新资讯
其他