川南在线 发布时间:2021-10-31
放疗全称放射治疗,是通过各类放射线直接杀死病变或异生的细胞,它既能够弥补外科手术的局限性,也是二十一世纪发展最快、最先进的局部治疗手段之一。
它可以通过对局部的肿瘤进行治疗,缩小肿瘤的体积或者完全消灭肿瘤。
1来看两个真实案例

1、某肺癌患者放疗前后对比
左图是治疗前,红色箭头指着的地方是患者肺部的肿瘤,右图是经过放射治疗之后,患者肺部病灶明显变小。

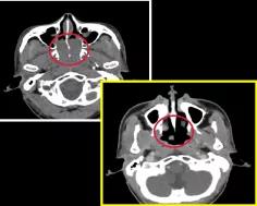
2、某鼻咽癌患者放疗前后对比
左图是治疗前,红色圆圈内是患者鼻咽部的肿瘤,右图是经过放射治疗之后,红色圆圈圈住的肿瘤团块已经几乎消失了。
2放疗需要啥?
首先,当然是放疗专业人员。
不是所有穿白大褂的男生都是医生叔叔,也不是所有穿白大褂的女生都是护士姐姐。
在放疗过程中你遇见的穿白大褂的可能是放疗医生,可能是放疗物理师,也可能是放疗技师。
那么我们怎么区别他们呢?他们分别是干什么的呢?

给患者看病,告诉患者要如何配合治疗的是放疗医生。

给患者做治疗的是放疗技师。

给患者做治疗计划的是放疗物理师,你可能看不到,但是他们的努力让患者的治疗更加精确,受伤害更小。
主要仪器设备
其次,就是专业的仪器设备。

直线加速器是用来发射射线,根据物理师做的计划,按照固定的方向发出相应大小面积的射线,来杀死身体里面的癌细胞。

放疗计划系统是用来把你的CT定位数据和身体的器官相对应起来,避开危险的器官,在三维结构上勾画出需要治疗的位置,设置响应的照射方向和照射剂量,模拟、优化并最终给出患者做治疗的时候最合适的治疗方案。
放疗主要辅助材料

定位膜是用来给患者固定体位的一种塑料热可塑性膜,防止患者在治疗的时候出现移位,保证治疗的精确性。
3放疗的过程是怎样的?
1. 制膜:制作放疗体位固定用定位膜
2. 定位:在固定体位下通过CT模拟机为患者定位

3. 靶区勾画:放疗医师根据所拍摄的CT图像进行靶区和危机器官勾画

4. 计划设计:物理师根据医师勾画的靶区以及危机器官,制定最佳放射野和照射剂量计划
5. 复位:上级医师审核放疗计划,模拟机下摆位核定。
6. 放疗:确定无误,待医师正式签字确认后实施放疗。
7. 放疗期间实时监控患者相关指标变化,随时调整放疗计划。
总的来说,放射治疗是一种让患者在没有任何痛感的情况下,利用射线的穿透和杀伤效果对肿瘤进行治疗,在一次又一次的杀伤之后,肿瘤逐渐的变小,成为挽救生命的有效途径。
治疗前,许多患者可能因为不了解它,而心怀忐忑。治疗中,患者可能因为模具的紧凑而感到不适,也可能因为自己一个人躺在偌大的治疗室里感到恐慌,但是这一切都没有关系。
躺在治疗床上的时候,你只需要想象自己背靠草地,面朝碧空,这是在一个阳光静好的下午,静静的这样躺着,享受和煦的风,很快几分钟就过去了。
治疗后,需要注意多喝水,多保护放疗路径上的皮肤和组织,注意保湿水润,注意营养均衡,保持心情愉悦。
除了做好这些,其他的一切都交给我们,让我们为你的健康保驾护航。(来源:泸州市人民医院)
编辑:肖昂
关注川南在线网微信公众号
长按或扫描二维码 ,获取更多最新资讯
其他