川南在线 发布时间:2021-11-11
所有的肿瘤患者都需要放疗吗?
放疗的适应症及疗效如何呢?
放疗有哪些副作用?
如何应对或者预防这些副作用呢?
给大家揭示肿瘤放疗的真相!
放疗这一癌症治疗方式的历史非常悠久了,到今年120多年了。从1895年底伦琴发现X射线开始,科学家们在1896年就将X射线用在癌症患者的治疗上了。

放疗很有用
目前,放疗已成为癌症治疗中的最重要手段之一。世界卫生组织公布,70%以上的肿瘤需要放疗,40%的肿瘤通过放疗可以治愈。

放疗有用是有前提的
和外科手术及药物治疗一样,放疗只有在有放疗适应征、使用得当、且放疗质量过关的情况下,才会使患者获益,达到延长生存和/或提升生活质量的目的,否则可能对患者有害。任何治疗手段滥用或治疗质量很差都是有害的。
放疗可能会变得越来越有用
放疗这一手段的有用,还表现在:
1)收费低:对比手术和药物治疗,放疗在全世界范围内收费都非常低廉,这对癌症这一花费巨大需要长期治疗的疾病来讲非常重要;
2)放疗能保留患者肢体和器官:例如头颈部患者不致于毁容,眼部肿瘤患者可以保留眼睛和视力等;
3)耐受性强:随着老龄化社会的到来,很多病人由于高龄和内科合并症不能耐受手术,放疗能发挥更大的作用。
随着质子重离子放疗技术的发展,立体定向放疗技术的发展,人工智能的加持,放疗和基因组学的联合等等,放疗在癌症领域会发挥越来越大的作用。此外,放疗的临床有效性已经超出癌症领域了,最新研究显示立体定向放疗SBRT治疗心律失常效果显著。
放疗的适应症及疗效如何呢
临床上适合放疗的肿瘤主要包括↓↓
颅内肿瘤:恶性胶质瘤、髓母细胞瘤、颅咽管瘤
头颈部肿瘤 :鼻咽癌、喉癌、舌癌
胸部肿瘤:肺癌、食管癌、乳腺癌
腹、盆部肿瘤 :直肠癌、宫颈癌 、前列腺癌
其他:恶性淋巴瘤、皮肤癌、骨肉瘤……
放疗有哪些副作用?
放疗副作用可防可控,一般而言放疗可引起一些毒副反应,但临床最常见的有以下几种:
1、放疗一般反应:表现为食欲不振、疲乏无力、头痛头晕、免疫功能低下等;

2、放疗消化道反应:表现为恶心、呕吐、消化不良、胃脘不适、腹胀、腹泻等;

3、放疗血象反应:外周血中白细胞数降低,血小板减少和贫血等骨髓抑制;
4、放疗局部反应:由于身体各组织部位对放射线的耐受性不同,且放射线的类型、剂量 、照射面积也不同,所以,人体各组织部位的表现,也不尽一致。
皮肤放射损伤因照射部位、射线质量、照射剂量、照射范围大小而有不同,而且个体差异极大;
粘膜出现的放射反应与皮肤相似,但因粘膜修复力强,不造成太大损伤;
唾液腺对放射线很敏感,受放射线照射后腺体破坏,分泌减少,因此,鼻咽癌患者放疗后极易发生口干。

如何应对或者预防这些副作用呢
患者不要畏惧放疗的副作用而不愿接受治疗。放疗本身对肿瘤患者来说是利大于弊的,医生会想办法减轻放疗副作用,需要患者积极配合,放疗期间除保持良好心情严格遵医嘱外,还需注意以下几点:
1、按医生指示定期做全身体格检查,便于医生修改放疗计划;
2、注意休息、加强营养、摄入高蛋白、高纤维素、低脂肪饮食,适当药物补充营养素,提高生活质量;
3、戒烟酒,忌辛辣刺激性食物;
4、保护射野皮肤勿受理化刺激,防日晒及外伤,野内皮肤勿贴胶布、膏药,勿用刺激性药物擦拭皮肤。
案例分享
1、鼻咽癌

放射治疗是鼻咽癌首选治疗手段,目前放射治疗法最有效的就是鼻咽癌,几乎可以治愈。
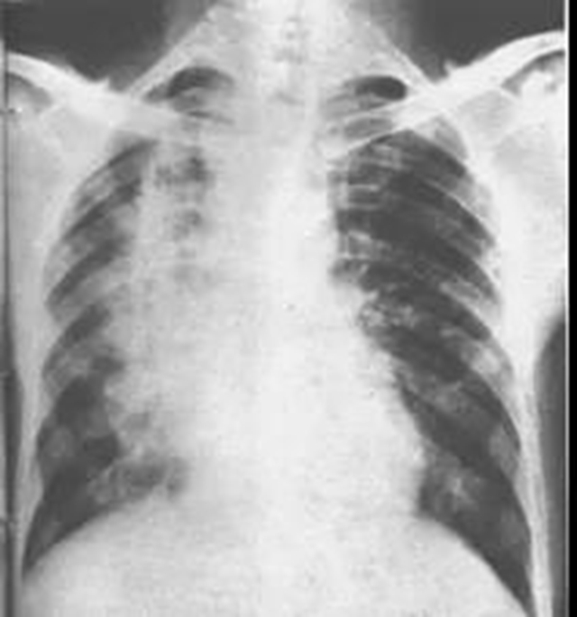
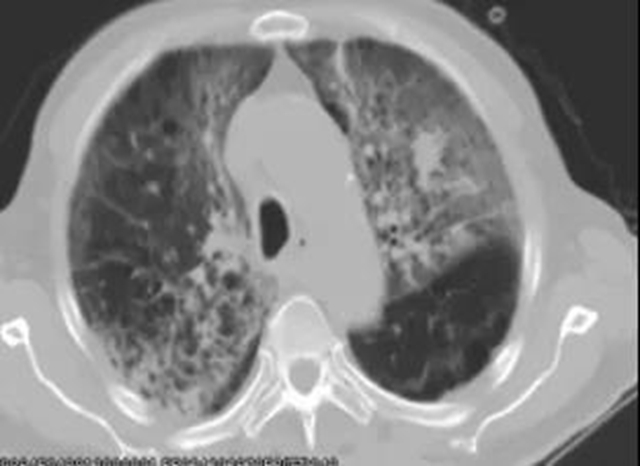
2、急性放射性肺损伤


患者因个体差异、基础疾病(患有慢性肺病)、其他治疗(化疗药物)、吸烟等可能发生急性放射性肺损伤。
目前,临床可使用足量肾上腺皮质激素和抗菌素连续数周(2-3周,甚至1月)进行治疗。
泸州市人民医院 肿瘤科·血液内科
咨询电话:0830—2282310
(来源:泸州市人民医院)
编辑:李永鑫
关注川南在线网微信公众号
长按或扫描二维码 ,获取更多最新资讯
其他