川南在线 发布时间:2022-06-27
半个月前,税先生出现腹痛,到当地医院就诊被诊断为急性胰腺炎,因腹痛症状很轻微,医生考虑税先生患的是轻症急性胰腺炎。
经过一段时间的治疗后,税先生仍然感觉上腹部隐隐作痛,便来到了西南医科大学附属中医医院脾胃·风湿免疫病科就诊。

入院后,进行腹部增强CT检查,谁知这一检查,竟在税先生的胰腺上发现了一个1.5cm左右的低密度结节。
听到结节二字,税先生顿时紧张了起来,心想这会不会是癌症,如果真的是癌症该怎么办……

为了尽快明确病灶的性质,为下一步治疗提供精准方案,西南医科大学附属中医医院脾胃·风湿免疫病科副主任李丽副教授决定为他实施“超声内镜引导下胰腺细针穿刺活检术(EUS-FNA)”。
李丽解释说:“由于胰腺的位置特殊,获取胰腺组织非常困难,经腹部超声或者经皮CT引导下穿刺活检存在穿刺困难、阳性率低等缺点,难以确诊。超声内镜引导下细针穿刺活检术则弥补了这一缺陷,已经成为胰腺癌患者确诊的重要手段和依据。”

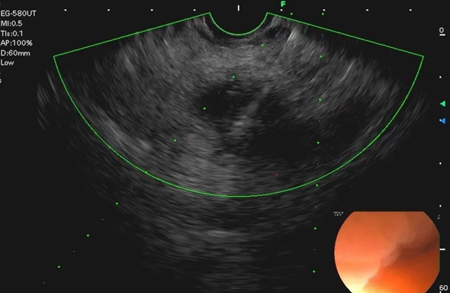
经过超声内镜全面扫查,最终在税先生的胰腺头颈部发现了一个2.2×2.3cm大小的低回声病灶,超声下显示比之前CT检查时更大。
在多普勒超声引导下,谨慎避开周围血管,选择合适的穿刺位置后,李丽副教授用穿刺针对病灶进行了反复多次抽吸。穿刺过程十分顺利,成功获取了有效的病灶组织。

病检结果最终提示税先生患的是导管腺癌,诊断明确后立即转入外科进行手术治疗。
所幸此次穿刺活检术及时发现了癌细胞,为税先生赢得了宝贵的治疗时间,否则任其生长,后果不堪设想。

胰腺癌属于消化道恶性肿瘤,素有“癌中之王”的称号,具有起病隐匿、进展迅速、治疗效果差、预后差的特点。
它好发于40-80岁人群,目前位于我国常见癌症死因的第4位,5年生存率<8%,是预后最差的恶性肿瘤之一,临床表现主要有腹痛、消瘦、黄疸等症状。

胰腺癌的早期诊断难度非常大,发现时多已属中晚期,但早期发现和诊断仍是胰腺癌治疗的关键,早期患者行手术治疗可有效延长生存期和提高生活质量。
李丽副教授介绍说:“目前,组织病理学诊断是胰腺癌诊断的‘金标准’,超声内镜引导下胰腺细针穿刺活检术是进行胰腺穿刺的首选方法,是一项准确、安全、便捷的技术,对胰腺疾病的诊治具有很好的指导作用。”
腔镜中心简介

腔镜中心是医院重点打造的国内一流内镜微创诊疗中心,面积2000余平方米,拥有国内外一流设施设备,以消化系统、呼吸系统、泌尿系统内镜诊疗为主,采用中心化、一体化的管理模式,竭诚为患者提供专业化、精细化、无痛化、舒适化的医疗服务。
该中心拥有电子胃镜、电子小肠镜、电子十二指肠镜、电子结肠镜、超声内镜、胶囊内镜、电子支气管镜、冷冻治疗仪、电子膀胱软镜、多型号膀胱尿道镜、内镜追溯系统等国内外一流设施设备,专家团队人才济济,技术精湛,实力雄厚,广泛开展具有国内领先水平的内镜诊疗技术:消化内镜诊疗技术:消化道早癌内镜黏膜下剥离术( ESD)、胰胆管疾病内镜下逆行胰胆管造影术( ERCP)、超声内镜下细针穿刺术( EUS-FNA)、贲门失弛缓症经口内镜下肌切开术(POEM)、内镜经黏膜下隧道肿瘤切除术(ISTER)、内镜下食管胃底曲张静脉硬化及套扎术、内镜下内痔硬化剂注射、胃肠道支架植入术等;呼吸内镜诊疗技术:经支气管镜灌洗/刷检/活检术、经支气管镜肺活检术、经支气管镜冷冻切除/活检术、经支气管镜异物取出术、经支气管镜针吸活检术等;泌尿内镜诊疗技术:电子膀胱软镜/硬镜镜检、软镜/硬镜下活检术、输尿管支架置入/取出术、膀胱内异物取除术等。
咨询电话:0830-2583565

























(来源:西南医科大学附属中医医院)
编辑:李永鑫
关注川南在线网微信公众号
长按或扫描二维码 ,获取更多最新资讯
其他