川南在线 发布时间:2022-12-30
近期,“白肺”一词受到关注,“白肺”是什么意思?咳嗽不停是“白肺”吗?
医学指导:敖素华 教授

医学博士,呼吸内科主任,硕士研究生导师。四川省中医药管理局学术和技术带头人,泸州市学术和技术带头人,四川省学术和技术带头人后备人选,中组部“西部之光”访问学者,第三届“健康泸州-大美医者”。擅长运用中医、中西医结合方法治疗慢性阻塞性肺疾病、肺气肿、慢性肺源性心脏病、呼吸衰竭、支气管哮喘、肺炎、支气管扩张、肺栓塞、胸腔积液、间质性肺疾病、慢性咳嗽、不明原因发热等疾病。
城北门诊:周一、二、三、五上午
咨询电话:0830-3162167
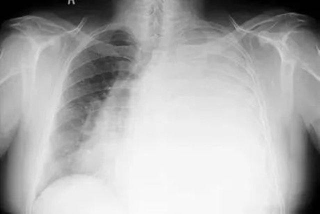
“白肺”一般是指重症肺炎在X光检查下的表现,其肺部呈现一大片的白色状态,白肺形成一般都预示着肺部被炎症所广泛浸润。

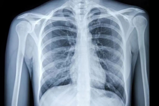
健康的肺

白肺
正常健康的肺,在X光和CT上都是透光的,并且显示为“黑色”。但如果肺部有严重的疾病(如肺炎或者肺部肿瘤),或者有大量的胸腔积液,让健康的肺组织不再具有正常的通气和其他交换功能,肺泡组织被破坏了,这时候在X光和CT上就表现为“白色”。
哪些情况会引起白肺?
引起白肺的原因很多,只要正常的肺泡被破坏,肺泡里面的气体被液体替代或者肺泡塌陷了,就会出现白肺。有四种情况是比较常见的:严重的肺水肿、肺不张、肺梗死以及最主要的严重肺部炎症,如新冠重症肺炎。

哪些人容易出现白肺?
这个问题换一种问法其实是,哪些人容易出现重症肺炎或严重的肺水肿?大家现在比较关心感染新冠后引起的肺炎,就讲讲新冠引起的重症肺炎多见于哪些人群:

1.年龄65岁以上人群;
2.免疫抑制状态人群。免疫抑制状态是指正常的免疫功能因为疾病或者药物受到了影响,如艾滋病、器官移植的患者等,长期服用免疫抑制剂、服用激素。以及患有类风湿疾病的人,都属于免疫抑制;
3.有重要器官慢性疾病史人群。如有心脏病、中风史、慢性肾脏病或在透析的患者,还有肺气肿的患者,以及一些长期需要呼吸机帮助呼吸的人群。
4.有多种并存疾病的患者。有些患者虽然病情不如上面的重,但是有多种疾病,比如既有心脏病,又有肺病,然后肾脏还不好,也需要小心。
5.病情进展快的患者。如果感染之后,患者迅速出现了血氧饱和度下降,低于94%,尤其发生在上面的这些高危人群身上,就更需要小心,需要去医院密切监测。

什么时候需要排查是不是有肺炎?
1.高热不退,比如持续5天,还在39℃以上;
2.呼吸急促,一分钟到30次(正常成人一分钟呼吸在20次以下);
3.体温恢复正常1-2天,突然又出现了39℃以上的高热,伴有呼吸急促;
4.精神状态差,一天不如一天,或不见好转;
5.血氧饱和度仪检测,血氧饱和度低于93%;(老年人血氧低于95%需多加观察)

注意:体温数字不是病情轻重的硬性标准,尤其是老年人,基础体温通常偏低,感染后可能不发烧或仅轻微低烧,并不代表情况良好。如果老人感染后血氧出现下降(相比日常数值下降超过5),或者有憋气、胸闷的情况,一定要警惕。
如果只是单纯的咳嗽,不伴有呼吸困难,不伴有发热,不伴有精神状态差,不建议去做CT排查肺炎。
呼吸内科

科室开展呼吸系统常见病、多发病及疑难、危重症规范化诊治,擅长中医、中西医结合治疗慢性阻塞性肺疾病、慢性肺源性心脏病、呼吸衰竭、支气管哮喘、肺炎、肺脓肿、支气管扩张、肺癌、肺结核、尘肺、肺栓塞、间质性肺疾病、慢性咳嗽、不明原因发热、重症肺炎,脓毒血症等疾病。电话:0830-3162167地址:第二住院大楼14楼





(来源:西南医科大学附属中医医院)
编辑:李永鑫
关注川南在线网微信公众号
长按或扫描二维码 ,获取更多最新资讯
其他