川南地区综合性网络门户

百科

合江县中医医院建院40周年·科普 | 那个看起来最乐观的人,可能正在独自崩溃
28
2025-06

时间: 2025-06-28

你能想象吗?那个总是逗你笑的朋友那个在职场雷厉风行的同事那个在家庭中默默扛起一切的亲人他们脸上灿烂的笑容背后可能正经历着难以言说的精神风暴他们看起来如此“正常”甚至比常人更积极但内心却可能被持续的低落、无价值感和绝望感啃噬这种将真实痛苦隐藏...

【警惕】一旦出现这些情况……就只能截肢?
28
2025-06

时间: 2025-06-28

糖尿病本身不致命致命的是严重的并发症糖尿病足就是糖尿病严重的并发症之一。一旦糖尿病足溃疡的部位发黑坏死,逐渐蔓延扩大,出现了皮肤坏死,很难修复,只能截肢。糖尿病足,是糖尿病患者由于长期合并神经病变及各种不同程度的下肢血管病变而导致的下肢感染...

【关注】脖子上打2个小孔,轻松治愈大包!
28
2025-06

时间: 2025-06-28

富!贵!包!单独看这仨字透露着高端大气上档次可“富贵包”合在一起就不那么受人待见了60岁的邱阿姨,就是一名深受“富贵包”危害的患者,反复出现头晕、手麻、肩颈发沉等问题。邱阿姨的富贵包凸起很明显,多次在当地诊所、医院治疗,按摩、针灸、排血等都...

合江县中医医院建院40周年·科普 | 银发岁月焕活力,健康新程 “心” 开启
25
2025-06

时间: 2025-06-25

 清晨漫步公园,总有些老人步履蹒跚,咳嗽连连。  午后老友相聚,也有人唉声叹气,抱怨浑身不适。  您是否也觉得上了年纪,健康就像握不住的沙?  合江县中医医院心脑病·老年病科副主任吴雪红提醒您:别让这样的想法束缚生活!  “银铃健康,从心起...

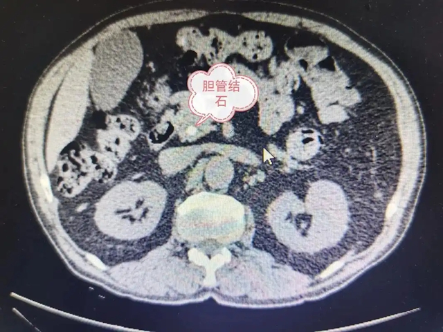
【警惕】感染性休克,藏在胆总管里的“定时炸弹”
25
2025-06

时间: 2025-06-25

 一天晚饭后,张大爷因突发剧烈腹痛、高热、精神极差被送进急诊,行腹部CT检查发现是胆总管下端有个小结石堵死了,引起胆总管结石伴急性梗阻性化脓性胆管炎(AOSC)。家属慌了:“不就是胆结石吗?怎么突然要命了?”  张大爷被紧急收入肝胆胰外科住...

【当心】偏瘫女子左侧颈肩部、左上臂长满一簇簇水疱……
25
2025-06

时间: 2025-06-25

 54岁的罗女士,因为脑出血导致了左上肢偏瘫,不仅如此,她还遭遇了让人闻风丧胆的“蛇串疮”——带状疱疹。疼痛让她夜不能寐,生活几乎陷入绝望。但幸运地是,现代医学的“黑科技”帮她重燃了生活的希望。  前年,罗女士因为“脑出血”在外院做了手术,...

“螃蟹宝宝”吃不下还爱吐泡泡!家长一定警惕这种病!
24
2025-06

时间: 2025-06-24

近日,在小儿外科门诊诊室,廖凯男副主任医师收到来自一家三代人的衷心感谢。事情还需要从1个多月前说起。4月15日陈妈妈(患儿母亲)经41周妊娠在当地医院诞下了宝宝,全家人都沉浸在幸福的氛围中,但接下来的情况让家属们陷入了焦虑、恐慌中。宝宝出生...

【看过来】月经量减少,竟是要提前绝经了?
24
2025-06

时间: 2025-06-24

很多女性病人因月经量较前减少就很焦虑,以为自己是不是快要绝经了,那今天就来讲讲究竟月经量减少多少被认定为量少,又是哪些原因导致的呢?月经量减少是指总失血量少于20毫升。一个更直观、临床常用的判断标准是:整个经期只需要使用极少量卫生巾或护垫(...