川南在线 发布时间:2025-06-12
这两天,一段4秒的短视频,北大“韦神”韦东奕老师再次成为焦点。但视频中,韦东奕面带微笑,上排门牙几乎脱落过半的情况引起了网友的关注。
有网友表示好奇:“韦神”的牙到底怎么了?

针对网友关切,其家属回应称——
韦东奕牙齿的问题有很多原因,患牙周炎曾治疗多次,还要去医院检查。
这位数学天才的牙齿状况引发了大家的关注,也让很多人意识到牙周病的严重性。
其实,牙周病是很多人在不知不觉中就会遭遇的口腔问题,它就像一个“隐形杀手”,悄无声息地侵蚀着我们的牙齿健康。
医学指导:彭培钊

医师
口腔诊疗中心
硕士研究生(口腔种植学方向),于西南医科大学附属口腔医院完成口腔全科住院医师规范化培训。擅长种植修复,复杂牙拔除,牙体缺损,龋齿及牙髓疾病的治疗等。
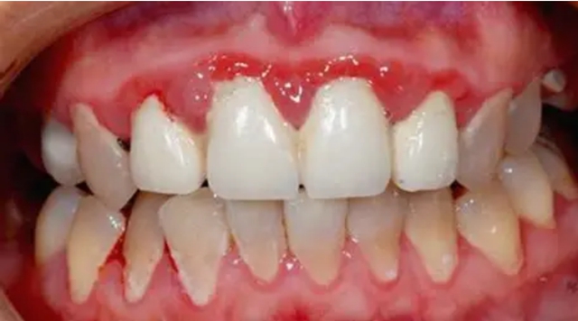
牙周病,顾名思义,就是发生在牙齿周围组织的疾病,主要影响牙龈、牙周膜、牙槽骨等部位。我们的牙齿就像一棵棵小树,牙周组织就是它们的“土壤”。如果“土壤”出了问题,牙齿自然也就岌岌可危了。
牙周病分为两个阶段:牙龈炎和牙周炎。
牙龈炎是早期阶段,主要表现为牙龈红肿、出血,但牙齿本身还没有松动。
而牙周炎则是更严重的情况,牙周组织被破坏,牙齿开始松动,甚至可能脱落。

牙龈炎

牙周炎

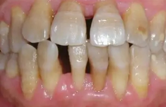
牙菌斑和牙结石
牙周病怎么来的?
牙周病的“罪魁祸首”就是牙菌斑。
牙菌斑是一种细菌在牙齿表面形成的生物膜,它就像一层厚厚的“脏东西”,紧紧地贴在牙齿上。
如果我们不定期清理,牙菌斑就会逐渐钙化变成牙结石。牙结石就像一块块“石头”,牢牢地附着在牙齿上,刺激牙龈,引发炎症。
除了牙菌斑和牙结石,不良的生活习惯也会加速牙周病的发展。比如:
吸烟会破坏口腔内的血液循环,让牙周组织·更容易受到感染;
不正确的刷牙方式,会损伤牙龈,给细菌可乘之机,如横向刷牙。
全身疾病如糖尿病也会增加患牙周病的风险,因为高血糖环境会让细菌更容易滋生。

牙周病的危害
牙周病会导致牙齿松动、脱落。这不仅影响咀嚼功能,还会让我们的脸看起来更显老态。而且,牙齿缺失后,邻近的牙齿会逐渐向空缺处倾斜,导致咬合紊乱,甚至引发颞下颌关节紊乱。
牙周病还会导致患心血管疾病的风险会增加,因为口腔内的细菌可以通过血液循环进入心脏,引发炎症。
此外,牙周病还与阿尔茨海默病等神经退行性疾病有关,还可能增加患糖尿病的风险。
对于孕妇来说,牙周病甚至可能导致早产、低体重儿等不良后果。

牙周病的进展过程
牙周病的症状
牙周病的早期症状很“低调”,很多人甚至都没察觉。但如果出现以下情况,可要小心了:
1.刷牙时牙龈出血:这是牙周病最常见的早期症状。
2.口腔有异味:牙周病会让口腔内的细菌大量滋生,产生异味。如果口腔里总是有异味,刷牙也解决不了,那可能是牙周病导致的。
3.牙缝变大:随着牙周组织的破坏,牙齿之间的支撑力减弱,牙缝就会逐渐变大。
4.牙齿松动:这是牙周病比较严重的表现。如果牙齿开始松动,说明牙周组织已经被严重破坏了。

如何预防和治疗?
预防牙周病,关键在于保持良好的口腔卫生习惯。
1.正确刷牙:每天早晚用巴氏刷牙法刷牙,每次至少2分钟。巴氏刷牙法是一种科学的刷牙方法,可以有效清除牙菌斑。刷牙时,牙刷与牙齿呈45度角,轻轻震动,让牙刷毛能够清洁到牙龈边缘。
2.使用牙线:光刷牙还不够,牙缝里的牙菌斑也需要清理。每天使用牙线清理牙缝,可以有效预防牙周病。
3.定期洁牙:洁牙是预防牙周病的重要手段。每年洁一次牙,可以有效清除牙结石,减少牙周病的发生风险。
4.均衡饮食:多吃富含维生素C和钙的食物,如水果、蔬菜、牛奶等,有助于增强牙周组织的抵抗力。
如果已经患有牙周病,也不用太担心,及时就医,通过专业的治疗,可以控制病情。
常见的治疗方法
1.洁牙:通过超声波等技术,清除牙齿表面的牙结石和牙菌斑。
2.刮治:对于牙周袋内的牙结石,需要通过刮治来清除。
3.牙周手术:对于严重的牙周病,可能需要进行牙周手术来修复牙周组织,如牙周翻瓣术等。
牙周病虽然可怕,但只要我们重视起来,做好日常预防,就能远离它的困扰,别让“隐形杀手”偷走我们的牙齿。
从现在开始,好好爱护我们的口腔吧!
(来源:西南医科大学附属中医医院)
编辑:李永鑫
关注川南在线网微信公众号
长按或扫描二维码 ,获取更多最新资讯
其他