川南在线 发布时间:2025-06-25
一天晚饭后,张大爷因突发剧烈腹痛、高热、精神极差被送进急诊,行腹部CT检查发现是胆总管下端有个小结石堵死了,引起胆总管结石伴急性梗阻性化脓性胆管炎(AOSC)。家属慌了:“不就是胆结石吗?怎么突然要命了?”

张大爷被紧急收入肝胆胰外科住院治疗,入院时血压低(85/50mmHg)、心率快(130次/分),皮肤巩膜黄染,寒战高热,CT显示胆总管下端结石堵塞,血白细胞高达12.01x10⁹/L[成人正常值(4.0–10.0)×10⁹/L],中性粒细胞百分率90.5%,降钙素原>100ng/mL,总胆红素150umol/L,直接胆红素144umol/L,这是典型的急性梗阻性化脓性胆管炎。


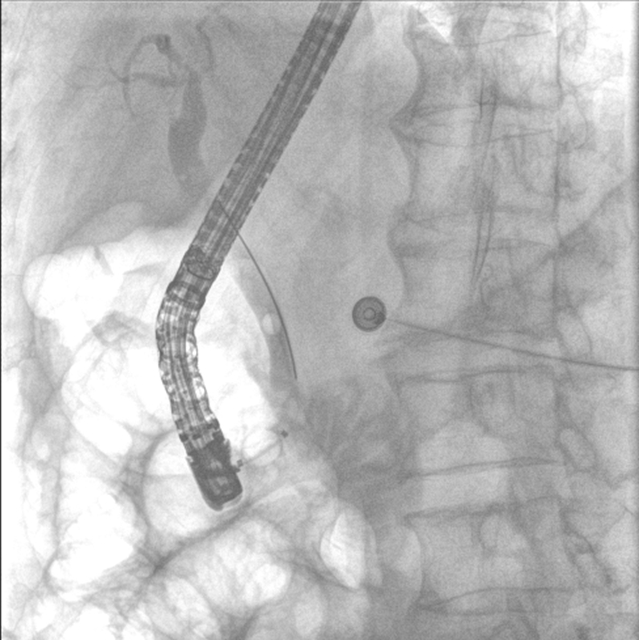
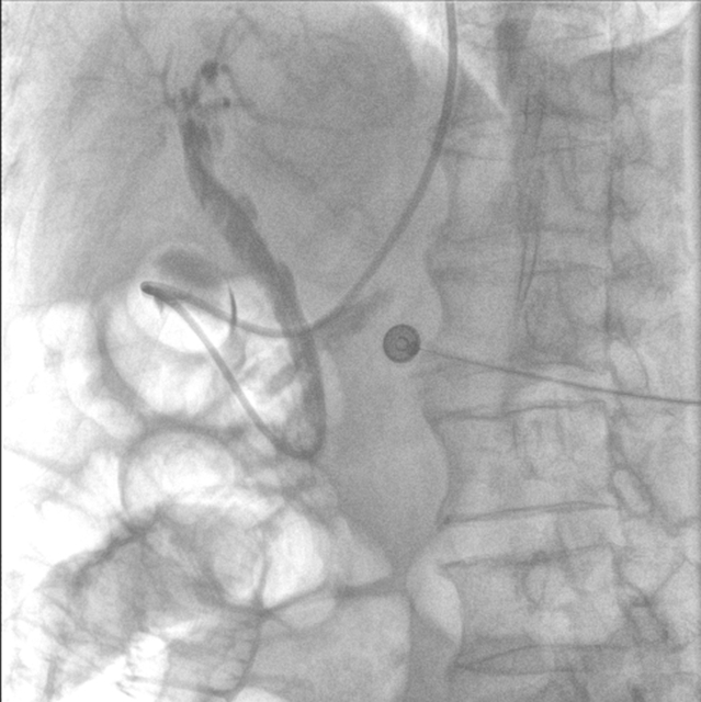
完善相关检查后,肝胆胰外科医生团队立即为张大爷实施了急诊内镜逆行胰胆管造影(ERCP)。
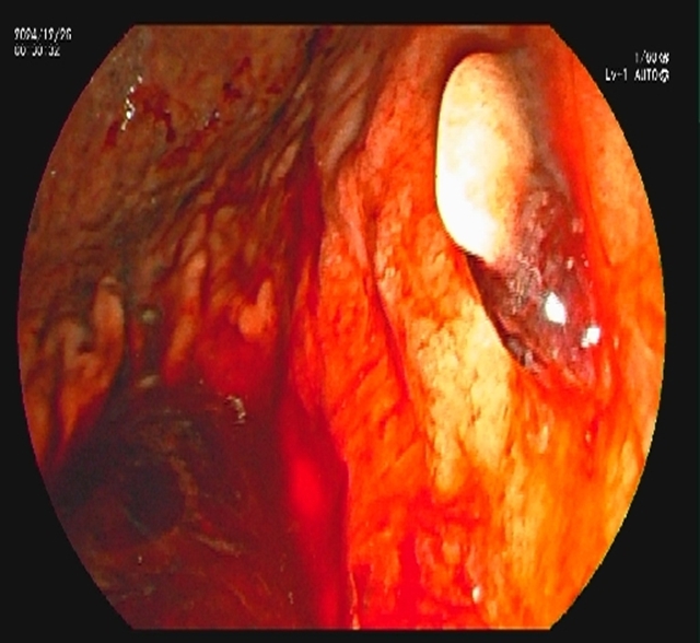
内镜到达十二指肠乳头时,切开乳头的瞬间,大量白色脓液喷涌而出(证实胆道高压、感染极重);随后用球囊扩张乳头(扩大开口),顺利取出嵌顿的结石。







术后,放置鼻胆管持续引流脓性胆汁(当天引出300ml浑浊胆汁)。

经过治疗后,张大爷的心率逐渐降至90次/分,血压回升至110/70mmHg,第二天体温正常,白细胞降至1万以下,胆红素也开始下降——这说明成功解除了梗阻,感染得到控制。术后第5天拔除鼻胆管,他顺利出院。

李春桃
主治医师
肝胆胰外科
硕士研究生,已从事肝胆外科专业工作9年,善于治疗肝、胆、胰、脾外科常见疾病及多发病,尤其是胆囊结石及胆管结石。
胆总管结石:藏在胆道里的“定时炸弹”
胆总管是连接肝脏(分泌胆汁)和肠道(排出胆汁)的黄金通道,正常情况下,胆汁通过它顺利流入肠道,帮助消化脂肪。但如果胆汁中的胆固醇、胆色素等成分异常沉积,或胆道感染、解剖结构异常(如胆总管扩张),就会形成胆总管结石。
1.胆总管结石可分为两种类型
继发性结石:最常见,胆囊内结石(胆囊结石)掉进胆总管(约占胆总管结石的80%)。胆囊收缩时,小结石可能随胆汁“溜”进胆总管,卡在狭窄的下端(靠近十二指肠的位置)。

原发性结石:直接在胆总管内形成,多与胆道感染(如胆管炎)、寄生虫(如蛔虫)、胆汁淤积有关,常见于胆道蛔虫病高发地区。

2.谁容易被胆总管结石“盯上”?
有胆囊结石病史的人(约10%-20%的胆囊结石会掉进胆总管);

长期高脂饮食、肥胖、糖尿病人群(胆汁易淤积、成分异常);

有胆道蛔虫或胆道感染史的人(胆道环境差,结石易滋生);
40岁以上人群(胆道功能逐渐退化)。
从胆道小石头到“致命危机”
普通胆总管结石可能只是偶尔腹痛、消化不良,但如果结石长期堵塞胆总管下端,就会像“塞子”一样堵死胆道,引发一系列致命反应:
第一步:胆汁淤积→胆道高压
结石堵住胆总管,胆汁无法流入肠道,胆道内压力急剧升高(正常仅0.8-1.5kPa,梗阻时可升至3-5kPa)。

第二步:感染化脓→“细菌”入血
高压的胆汁会反流入肝内胆管,导致肝内胆管扩张、胆汁淤积,细菌(如大肠杆菌、克雷伯菌)趁机繁殖,引发胆管炎。此时胆汁变成“脓性胆汁”(含大量脓细胞、细菌),胆道高压迫使这些“毒水”渗入血液—这就是脓毒血症(全身感染),患者会出现高热、寒战、血压下降、意识模糊等表现。
第三步:休克+器官衰竭
脓毒血症若不及时控制,会发展为感染性休克(血压<90/60mmHg,手脚冰凉、意识模糊),同时细菌和毒素会攻击心、肺、肾等多个器官,最终可能导致多器官功能衰竭(死亡率高达30%-50%)。
内镜逆行胰胆管造影(ERCP):急性梗阻性化脓性胆管炎患者的“救命快艇”
急性梗阻性化脓性胆管炎的治疗核心是快速解除胆道梗阻+引流脓液+控制感染。但患者常因休克、血压低,无法耐受传统开腹手术(创伤大、麻醉风险高)。这时候,急诊内镜逆行胰胆管造影成为首选方案,它的优势在急性梗阻性化脓性胆管炎治疗中尤为突出。

1.微创:“口腔→肠道”的无切口操作
内镜逆行胰胆管造影通过一根直径约0.8-1.2cm的十二指肠镜(从口腔插入),经食管、胃到达十二指肠,找到胆总管开口(十二指肠乳头)。整个过程无需开腹,体表无伤口,对休克患者的打击极小。
2.快速:“分钟级”解除梗阻
内镜逆行胰胆管造影的关键操作是乳头切开引流+取石:医生用微型电刀切开狭窄的乳头(类似“扩大下水道口”),再用网篮或球囊取出结石。从切开到取石,通常仅需10-30分钟,能迅速降低胆道压力,让淤积的脓性胆汁通过切口及鼻胆管流出体外—这是控制感染、逆转休克的关键。
3.精准:“可视化”操作降低风险
内镜逆行胰胆管造影全程在X光和内镜直视下完成,医生能清晰看到结石位置、乳头形态,避免盲目操作。即使结石嵌顿严重(像"卡在墙缝里的石块"),也能通过球囊扩张或机械碎石取出,成功率高达90%以上。
4.一举多得:引流+诊断同步完成
内镜逆行胰胆管造影不仅能取石,还能通过鼻胆管持续引流脓性胆汁(每天引出200-500ml),快速降低胆道压力;同时,术中可采集胆汁送细菌培养,指导后续抗生素使用,实现"边治疗边诊断"。
如何预防急性梗阻性化脓性胆管炎
急性梗阻性化脓性胆管炎是胆结石的"最危险并发症",但通过以下措施可大幅降低风险:
1.高危人群早筛查
胆囊结石患者每1-2年做一次腹部超声,合并胆囊萎缩、胆囊壁增厚(>4mm)者需尽早手术(腹腔镜下胆囊切除)。
2.有症状结石早治疗
若胆总管结石已引发腹痛、黄疸,即使没有急性梗阻性化脓性胆管炎表现,也应尽快行内镜逆行胰胆管造影取石。
3.控制“危险因子”
低脂饮食(每日脂肪摄入<30g)、规律三餐(避免长时间空腹刺激胆汁分泌)、控制体重(BMI<24)。

出现信号立即就医:腹痛+高热+黄疸是急性梗阻性化脓性胆管炎的“前奏”,出现腹痛、高热、黄疸,哪怕只是轻微不适,也要立即就诊。胆结石不是“小毛病”,早一分治疗,多一分生机。
(来源:西南医科大学附属中医医院)
编辑:李永鑫
关注川南在线网微信公众号
长按或扫描二维码 ,获取更多最新资讯
其他