川南在线 发布时间:2025-07-22
一天,妈妈在给丽丽洗澡时,突然发现丽丽左侧乳房比右侧高,乳头下有“硬块”,一按这个“硬块”丽丽就叫疼。
妈妈担心极了,赶紧到医院寻求帮助,医生说这很可能是性早熟。

什么是性早熟?

根据调查显示,女童在 7.5岁前有乳房发育或在10 岁前月经初潮可视为发生性早熟。性早熟的发生是由于下丘脑一垂体一性腺功能过早激发,导致性激素分泌过多,促使性器官成熟,引发第二性征的提前出现。
调查显示,女童性早熟发病率约为男童的5-10倍。
什么是第二性征?

第二性征是指男女除了生殖器官以外的外貌特征区别,体现出男女身高、体态、相貌等方面的差异,第二性征在进入青春期后才出现。
女童主要表现为 乳房发育,月经来潮。
性早熟的危害
影响身高
性早熟可引起骨龄发育提前,骨骺提前闭合,影响最终身高。
心理危害
性早熟的女童,会出现乳房增大,月经早初潮,肥胖等,身体的明显变化,可能会受到同学的排挤、孤立、嘲笑,孩子出现自卑或者抑郁。
身体危害
对于女童来说,体内性激素水平较高,会增加成年期乳房肿瘤、子宫肌瘤的发病风险,并且由于卵巢过早发育排卵,还可能会出现卵巢早衰。此外性早熟也可能会增加肥胖、高血压、2型糖尿病的风险。
当怀疑性早熟时,需要做哪些检查
如果家长怀疑孩子性早熟,可以做以下检查:
骨龄检查(拍X线)、血化验性激素水平、GnRH激发试验、超声检查、头颅影像学检查。
超声检查能够安全、准确地掌握女童的乳腺发育状况及子宫、卵巢等内生殖器的结构和大小,在鉴别及诊断女童性早熟方面效果显著。
但很多家长带孩子检查了超声之后,拿着报告直呼“看不懂”,也不清楚各项指标意味着什么。
超声科医生王荔来给大家介绍女童性早熟的超声检查中,各种影像表现的意义。
超声检查能够安全、准确地掌握女童的乳腺发育状况及子宫、卵巢等内生殖器的结构和大小,在鉴别及诊断女童性早熟方面效果显著。
性早熟超声表现
对乳腺发育评估:超声观察乳晕下方乳核发育情况,依据超声检查对乳腺进行Tanner分期。
临床Tanner分期与超声分级

超声波图片参考

Tanner I期 仅有乳头凸起
(箭头所指为乳头)

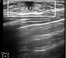
Tanner II期 乳晕后方呈星形或线样低回声区(白色方框)

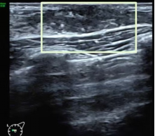
Tanner III期 腺体组织由乳晕后方向外延伸,中央为蜘蛛状低回声导管区
(白色方框)

Tanner IV期 纤维腺体组织可清晰显示
(白色方框)
超声对子宫卵巢发育评估
子宫长度3.4-4.0 cm,可认为已进入青春发育状态。
卵巢容积1-3 ml (卵巢容积=长 x 宽 x 厚x0.5233),并可见多个直径≥4 mm 的卵泡,可认为已进入青春发育状态。(中枢性性早熟诊断和治疗专家共识2022)

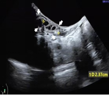
未发育的子宫
(白色箭头所指)

发育的子宫
(白色箭头所指)


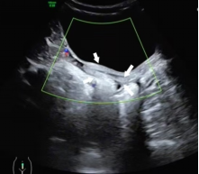
发育的卵巢,可见多个直径≥4 mm 的卵泡
(白色箭头所指)
超声检查作为一种安全、无创、准确的影像学手段,在评估女童性早熟方面扮演着至关重要的角色。
当您发现孩子出现性早熟迹象时,请务必及时带孩子到正规医院就诊,早发现、早诊断、早干预是科学应对守护孩子健康成长的关键。
(来源:泸州市人民医院 文:王荔)
编辑:李永鑫
关注川南在线网微信公众号
长按或扫描二维码 ,获取更多最新资讯
其他