川南在线 发布时间:2025-09-22
近日,西南医科大学附属中医医院骨伤科脊柱·肿瘤一组通过颈椎椎间孔镜微创手术,为一位70岁因颈椎间盘突出导致左上肢剧烈疼痛、麻木的患者解除病痛。术后,患者症状明显缓解。
病例回顾:1周手臂疼痛,让他“彻夜难眠”
“晚上疼得睡不着觉。”
70岁的蒋先生1周前突然出现左上肢放射性疼痛,从颈部一直延伸到上臂,伴有麻木、无力感,于当地医院针灸没有改善后,来到骨伤科·脊柱骨肿瘤一组就诊。经戚力升主治医师详细检查,结合影像学检查,诊断为颈椎5/6节段椎间盘突出,突出的髓核压迫神经根,导致左上肢神经症状。

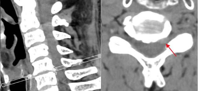
术前

术后
微创技术为患者带来福音:不到1cm大小切口,精准“解除压迫”
“患者基础疾病多,开放手术风险较高。”面对患者的复杂情况,谢明忠副主任医师带领团队进行反复讨论,9月10日,由谢明忠副主任医师主刀,戚力升主治医师、冯怡主管护师协助,采用颈椎椎间孔镜技术——通过直径仅7毫米的小孔,将椎间孔镜插入病变部位,在可视镜下精准定位并摘除压迫神经的髓核组织,整个过程仅用时2小时。
“手术刚结束,我就感觉手臂没那么疼了!”
术后第3天,蒋先生左上肢疼痛、麻木症状明显缓解,拔除引流管后已佩戴颈托下地活动,顺利出院。

传统颈椎前路颈椎手术切口(约5cm) 颈椎椎间孔镜手术切口(<1cm)
“7毫米!这技术牛了。”
医学指导:谢明忠

副教授、副主任医师,骨伤科脊柱·肿瘤一组,外科学硕士,从事骨伤科工作十余年,擅长脊柱退变、脊柱创伤等疾病的诊断治疗,并长期从事中西医结合临床本科专业学生的理论、见习教学工作。
颈椎椎间孔镜技术适用于神经根型颈椎病患者,尤其当保守治疗无效、症状严重影响生活质量时,微创手术可快速解除神经压迫、解除病痛。
(来源:西南医科大学附属中医医院)
编辑:李永鑫
关注川南在线网微信公众号
长按或扫描二维码 ,获取更多最新资讯
其他