川南在线 发布时间:2022-08-21
都说三十而立
可泸州的小段
却站立不起来了
……

十年前,小段刚开始喜欢上喝酒,有事没事都会小酌几杯,到后来酒量见长,每天都会喝半斤以上。
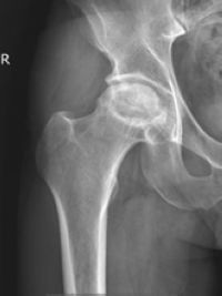
随之而来的问题是小段经常觉得髋部疼痛,逐渐出现行走困难,最近到西南医科大学附属中医医院骨伤科关节·足踝组就诊,被确诊为“酒精性股骨头缺血性坏死”。

如今小段已经三十岁
正是事业上升期
行走都困难的他还如何上升?
入院后,骨伤科关节·足踝组郝琦为小段做了详细检查,发现他的股骨头缺血性坏死已经到达III期,必须要通过手术清除死骨,解除骨内压力和改善血供,坏死区域支撑防塌陷。
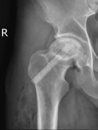
经讨论,决定采用“钻孔减压+陶瓷骨棒支撑治疗”股骨头缺血坏死,即在彻底清理死骨的基础上,在坏死区域植入生长颗粒,“多孔生物陶瓷棒”支撑和引导血管长入的作用,以期望重建骨坏死血供,最终植入的陶瓷棒被自体骨逐渐成骨替换,待自体骨替代后最终实现永久性生物支撑。


郝琦副教授解释说:“陶瓷骨棒植入技术为股骨头缺血坏死提供一种新的微创保髋方法,特别是对于年轻患者更具优势,同时不影响后期关节置换。”
经过治疗后,小段髋部疼痛明显好转,术后3个月复查,已经没有了疼痛症状,能正常行走了。

副主任中医师,西南医科大学骨伤教研室副主任。从事中西医结合骨科医疗、教学、科研工作10余年,擅长中西医结合治疗骨坏死、骨性关节炎、骨质疏松性骨折,微创治疗髋关节撞击综合征等髋部疾病,及中医药非手术治疗。

酒精性股骨头坏死多由大量饮酒、药物导致股骨头的血液循环障碍,继而发生软骨下骨折、关节面塌陷、关节功能障碍等一系列病理改变,从而导致髋部疼痛、功能障碍。
早期可予以中药内服外敷、功能锻炼以及冲击波治疗等延缓病情。
中晚期可予以钻孔减压、陶瓷骨棒植骨、髋关节镜等预防二次塌陷,以缓解疼痛、恢复关节正常功能。
晚期可进行髋关节置换。
温馨提醒:
生活中饮酒时,一定要注意把握饮酒的量和度,时刻关注自己的股骨头,一旦出现髋部或腹股沟区疼痛、膝关节疼痛、行走困难或跛行等情况,要尽快就诊。(来源:西南医科大学附属中医医院)
编辑:邱果
关注川南在线网微信公众号
长按或扫描二维码 ,获取更多最新资讯
其他