川南在线 发布时间:2022-11-10

随着人们健康意识的增强,很多人开始进行定期健康体检。
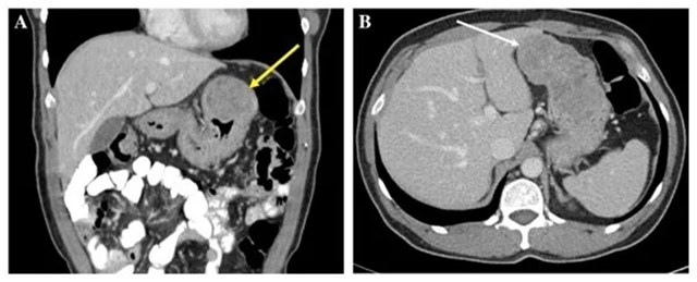
70岁的张大爷近来进食后老是觉得上腹部饱胀不适,便到医院进行体检,通过腹部CT发现左上腹有一个包块,怀疑是肿瘤,遂前往西南医科大学附属中医医院普外·疝与腹壁外科就诊,丁亮副教授完善相关检查后,为张大爷进行了手术切除治疗,术后病检证实:胃肠间质瘤!

一说到胃癌、肠癌,这都是大家熟悉而又避之不及的疾病,但是胃肠间质瘤您听说过吗?严不严重?万一确诊了又该如何处理?
医学指导:丁亮 副教授

副主任医师,从事医教研工作近20年,擅长胃肠、腹壁、肝胆、甲状腺、乳腺疾病的诊治,能熟练开展普外科常规手术,擅长腹腔镜下胃肠肿瘤、疝、胆石症的手术治疗。
城北门诊时间:周五全天
胃肠间质瘤
胃肠间质瘤是一类起源于胃肠道间叶组织的肿瘤。间质瘤具有潜在恶变倾向,其危险度与肿瘤大小、发生部位、核分裂象密切相关。
胃肠间质瘤有什么症状?
因间质瘤的大小、位置等差异,其临床症状变化多样,早期多无明显不适。
随着肿瘤增大,症状可表现为进食后腹胀不适、吞咽困难或呕血、黑便、腹痛、腹部包块等,若未及时进行治疗,甚至可能出现消化道梗阻、消化道穿孔等症状。
哪些检查可以辅助诊断?
此病的诊断多依赖于胃肠镜和CT、MRI、超声内镜等影像学检查。确诊具体的病理类型,尚需病理学检查及基因检测。

得了胃肠间质瘤怎么办?
不用太悲观,从整体来看,胃肠间质瘤较少发生淋巴结转移及远处转移,早期的胃肠间质瘤手术效果良好,基本上都可以通过腹腔镜技术来完成手术,痛苦小、恢复快、对脏器功能影响小。
但因胃肠间质瘤有破裂后扩散的特点,较大的肿瘤不推荐腹腔镜切除。如肿瘤危险度高或出现其他脏器转移,则需术后加靶向治疗或介入治疗。
对于40岁以上的人群,建议定期行胃肠镜及CT、MRI、超声内镜等影像学检查,以便早发现病变,尽早治疗。
对于直径≤2cm的上消化道间质瘤,如食管、胃、十二指肠间质瘤,建议行超声内镜检查并随访。
对于直径>2cm的上消化道间质瘤,因恶变程度较高,应首选手术切除,并结合病检确定后续治疗方案。
对于直肠间质瘤,不论肿瘤大小,均建议行手术切除治疗。
普外·疝与腹壁外科简介

西南医科大学附属中医医院普外•疝与腹壁外科是硕士研究生培养单位、国家第一批中医住院医师规范化培训基地,四川大学华西医院消化外科学科联盟成员单位,泸州市中西医结合学会普外科专委会主委单位,泸州市普通外科质控中心副主委单位。设有上胃肠(胃、小肠)疾病、下胃肠(结直肠、肛门)疾病、炎性肠病、肠瘘及胃肠营养、肝胆胰脾、疝与腹壁疾病等亚专业。科室秉承规范化、专业化、个体化治疗理念,年收治住院病人达2000余人次,年手术量2000余台,三、四级手术量占80%,利用腹腔镜、胃肠镜、胆道镜等技术对肝胆胰脾胃肠等腹部疾病尤其是胃肠癌进行微创治疗。
2016年医院成立腹部外科微创中心,常规开展腹腔镜远端胃癌D2根治切除术,保留胰腺与脾脏的腹腔镜根治性全胃切除术,腹腔镜结直肠癌根治术,保留肛门功能的腹腔镜超低位直肠癌全直肠系膜TME根治术,减孔/单孔腹腔镜结直肠癌根治术,结直肠癌NOSES手术(经自然腔道取标本手术),腹腔镜肝叶切除,腹腔镜胆道镜双镜联合胆道取石术,腹腔镜胰体尾加脾切除术,腹腔镜脾切除术,腹腔镜阑尾切除,腹腔镜胆囊切除,腹腔镜肝囊肿开窗引流,复杂腹膜后肿瘤切除,各类外科急腹症,晚期恶性肿瘤热灌注化疗,以及甲状腺、乳腺手术等为代表的一系列高难度先进技术,治疗水平与国内外最新进展接轨。
2015年医院成立疝与腹壁外科中心,是泸州地区较早以疝和腹壁专业为特色的科室,常规开展腹股沟疝、复发疝、巨大切口疝、造口旁疝、脐疝、白线疝、食管裂孔疝修补等开放术式,以及腹腔镜小儿疝内环口高位结扎术,腹腔镜腹膜前腹股沟疝修补术(TAPP),腹腔镜全腹膜外腹股沟疝修补术(TEP),腹腔镜切口疝修补、腹腔镜造口旁疝修补、各类复发疝腹腔镜修补术等微创术式,开展的微创手术具有创伤小,创口美观,术后劳动力恢复快等优点。
科室在普外科疾病治疗上积极推行标准化、规范化方案,每年举办四川省级继教项目-胃肠道恶性肿瘤的规范化治疗培训班、中西医结合治疗外科急腹症培训班等,旨在促进普外科各类疾病的规范化治疗,泸州及周边地区至今已逾1000余名医务人员参加培训。科室充分发挥中西医结合快速康复优势,使用传统中医进行快速康复治疗,开展中医特色疗法:1、艾箱灸治疗术后肠麻痹 2、术前中医穴位电针及敷贴镇静 3、肠痹散治疗粘连性肠梗阻等中西医结合手段促进患者快速康复,科室以“技术精进 以人为本”理念为川南地区群众健康保驾护航。
服务理念:技术精进 以人为本
住院部地址:第三住院大楼21楼
咨询电话:0830-3162170






(来源:西南医科大学附属中医医院)
编辑:李永鑫
关注川南在线网微信公众号
长按或扫描二维码 ,获取更多最新资讯
其他