川南在线 发布时间:2025-05-24
62岁的黄先生时常感觉上腹部闷痛不适,近半年来更是频繁出现进食哽噎感,尤其进食稍硬质食物后尤为明显。前往当地医院就诊,胃镜检查提示:贲门胃底糜烂型新生物,病理诊断提示为腺癌。

为寻求进一步治疗
黄先生来到了
西南医科大学附属中医医院就诊
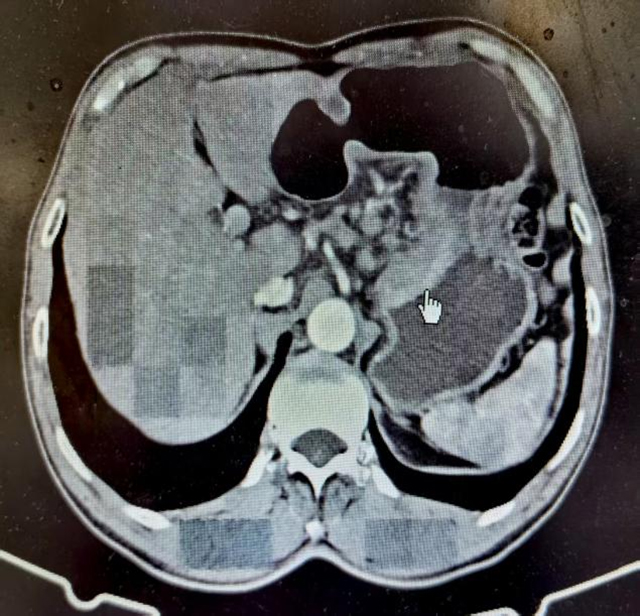
普外·疝与腹壁外科罗伟主治医师接诊后,为黄先生进行了腹部体格检查,全腹部CT提示:胃贲门壁增厚,考虑恶性肿瘤(Ca)可能,肝胃间隙及腹膜后多发淋巴结增大,有一定淋巴结转移概率。经详细询问病史及综合院外检查资料,考虑诊断为“胃底贲门恶性肿瘤”。

罗伟立即向上级医师郭伍斌副教授汇报了黄先生的病情。经郭伍斌副教授组织讨论后一致认为:全胃切除或许是更佳的选择,这样能确保肿瘤被彻底切除,降低复发的风险。
完善术前准备后,郭伍斌副教授团队在全麻下实施了腹腔镜全胃切除术,术中,医生们小心翼翼地切除全部胃组织、清扫淋巴结、重建消化道……可见胃底贲门一巨大溃疡型肿块,大小约7*5*2cm,侵及全层胃壁。
术后,黄先生经过静脉补液营养支持、益气扶正、中医中药等快速康复治疗,恢复正常流质饮食后顺利康复出院。
罗伟主治医师介绍:胃癌是我国常见的恶性肿瘤之一,发病率居恶性肿瘤第二位,每年新发病例约67.9万例,且呈现年轻化趋势。

早期胃癌症状隐匿,易被误诊为胃炎或胃溃疡,一旦进展至中晚期,治疗难度显著增加,5年生存率不足30%。因此,提高公众对胃癌的认知,加强早期筛查和预防至关重要。
胃癌的早期信号
早期胃癌症状不典型,易被忽视,需警惕以下表现:

1.上腹部不适:饱胀、隐痛,饭后加重;
2.消化道症状:食欲减退、嗳气、恶心、呕吐隔夜宿食;
3.异常体征:不明原因消瘦、乏力、黑便(消化道出血)或贫血。
4.若原有胃病疼痛规律改变(如空腹痛转为持续性疼痛),应立即就医。
预防胃癌的六大措施
1. 饮食调整:限盐(每日≤5克),多食新鲜果蔬、全谷物,避免进食霉变及烟熏食品。
2. 戒烟限酒:男性酒精摄入≤25克/日,女性≤15克/日。
3. 规律作息:避免熬夜,减少夜宵,减轻胃肠负担。
4. 根除幽门螺杆菌:感染者需规范用药,家庭内分餐、使用公筷防交叉感染。
5. 治疗癌前病变:慢性萎缩性胃炎、胃息肉等患者需定期复查。
6. 定期筛查:高危人群每1-2年做一次胃镜,普通人群40岁后建议定期筛查。

健康小贴士
若出现持续上腹不适
消瘦或黑便,请立即就诊!
罗伟
主治医师
普外·疝与腹壁外科

主治医师,从事普外疝与腹壁外科工作10余年,曾进修于四川大学华西医院胃肠外科中心,重庆医科大学附属第一医院肝胆外科,擅长胃肠、肝胆、疝疾病微创外科,熟练掌握胃癌根治术、乳腺癌根治术、结直肠癌根治术等大型手术;腹腔镜下胆囊切除术、阑尾切除术、疝无张力修补术、穿孔修补术等常见病的微创治疗及各种复合伤、多发伤、急腹症以及多种普外科急症的诊断及治疗。
(来源:西南医科大学附属中医医院)
编辑:肖昂
关注川南在线网微信公众号
长按或扫描二维码 ,获取更多最新资讯
其他