川南在线 发布时间:2026-01-14
65岁的张大爷在深夜突发右手无力、说话含糊,家人紧急送医。医生第一时间为他安排了磁共振检查,并特别进行了DWI序列,仅仅4分钟,就捕捉到了普通检查难以发现的脑梗病灶。
正因为DWI能在极早期发现病变,张大爷得以及时接受溶栓治疗,如今恢复良好,没有留下后遗症,这项技术为无数患者赢得了宝贵的抢救时间。
什么是DWI序列?
想象一下,人体细胞内充满了水分子,它们就像一群活泼的孩子,不停地在原地“晃动”。健康细胞的水分子活动是自由的,而受损细胞的水分子则会被限制“活动空间”。
DWI 全称“弥散加权成像”(Diffusion-Weighted Imaging),是 MRI(磁共振成像)家族成员,就像是一台超级显微镜,能“看到”水分子扩散运动的快慢。当细胞受损、水肿或密度异常时,水分子的运动就会受限,DWI就能捕捉到这种变化,在图像上呈现为亮白色区域。
DWI 的最大价值是 “快速捕捉急性病变”,是急诊和早期诊断的关键工具。

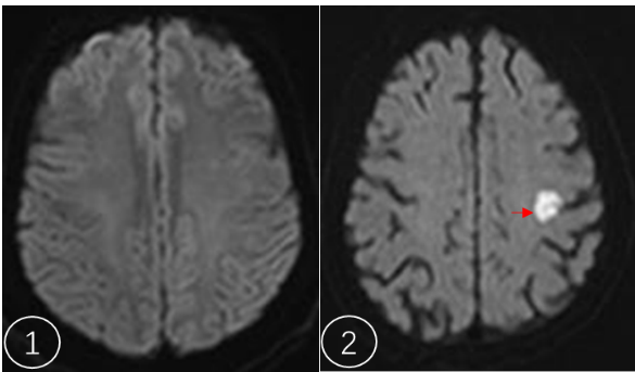
图1 为颅脑正常DWI序列扫描表现
图2为颅脑额叶急性脑梗死DWI序列扫描表现(箭头所指亮白色区域)
1.急性脑中风的“火眼金睛”
这是DWI最出名的应用。当脑中风发生时,脑细胞因缺血缺氧迅速水肿,水分子扩散受限。普通CT和磁共振常规序列在发病早期可能看不出明显异常,但DWI在发病几分钟到几小时内就能清晰显示缺血区域,为抢救争取宝贵时间。
医生评价:“对于中风患者,时间就是大脑。DWI是我们最迅速的诊断工具之一。”
2.肿瘤诊断的“侦探”
不同肿瘤的细胞密度不同,DWI能提供线索:
高度恶性肿瘤通常细胞密集,水分子扩散受限明显,DWI信号高
良性肿瘤或囊肿通常结构松散,水分子扩散自由,DWI信号低
帮助区分肿瘤复发和放射性损伤
3.感染性病变的“鉴别器”
脑脓肿和囊肿在常规影像上可能表现相似,但DWI能区分它们:
脑脓肿的脓液粘稠,水分子扩散受限,DWI呈高信号
囊肿内为自由液体,水分子扩散自由,DWI呈低信号
4.神经系统疾病的“监测仪”
多发性硬化:帮助评估疾病活动性
癫痫:定位癫痫病灶
脑白质病:评估病变范围
5.全身应用的“多面手”
不只是脑部,DWI也用于:
肝脏:区分血管瘤和恶性肿瘤
乳腺:辅助乳腺癌诊断
前列腺:提高前列腺癌检出率
全身筛查:DWIBS(全身弥散加权成像)技术可用于全身肿瘤筛查

图3为肝脏正常DWI序列扫描表现(红色线圈勾画区域)
图4位肝脏肿瘤DWI序列扫描表现(箭头所指亮白色区域)
检查时需要注意什么?
如果你或家人需要做含DWI序列的磁共振检查:
1.检查前无需特殊准备
2.检查时保持静止,任何移动都可能影响图像质量
3.检查后医生会结合其他序列综合分析,不要仅凭DWI结果自行判断
4.结果解读一定要交给专业放射科医生
简单来说,DWI序列就像一位敏锐的侦探,通过观察人体内水分子的“活动状态”,帮助医生发现早期病变、鉴别疾病性质。它快速、无创、高效的特点,使其成为现代医学影像中不可或缺的工具。
下次如果你听到医生建议做“磁共振DWI检查”,你就知道,这是要通过观察身体内的“水分子运动会”,来为你的健康保驾护航了。
(来源:西南医科大学附属中医医院)
编辑:李永鑫
关注川南在线网微信公众号
长按或扫描二维码 ,获取更多最新资讯
其他