川南在线 发布时间:2026-01-16
提到牙齿不齐,很多人第一反应是“戴牙套矫正就行”。
但23岁的小陈到西南医科大学附属中医医院口腔诊疗中心就诊时,却让彭培钊医生捏了一把汗——他的一颗尖牙竟“迷路”钻进了下颌骨深处,紧贴着前牙牙根,周围还缠绕着少见的粗大血管,堪称一颗潜伏的“口腔地雷”。

牙齿“迷路”不简单
小陈最初就诊的原因很常见,牙齿排列不齐影响外观,咀嚼也受影响。本以为常规矫正就能解决,可口腔检查和X光片却查出了大问题。
彭培钊发现小陈左侧下颌尖牙是颗早该脱落的乳牙,正常应该长出来的恒牙尖牙反而“躲”在了下颌骨里,牙冠直对着下前牙的牙根,只有毫厘之差。
更棘手的是,这颗埋伏牙周围还绕着一支很少见的直径0.9mm血管,比常见的颌骨内血管粗不少。
看到这可能有人会问:“牙齿藏在骨头里不疼不痒,不处理行不行?”
答案是:绝对不行。

彭培钊医生解释,临床上这种“藏在骨头里的牙齿”被称为“颌骨内埋伏牙”,就像一颗“定时炸弹”,长期不干预会引发一系列问题,比如牙齿周围容易形成囊肿,压迫邻牙导致牙根吸收(严重时邻牙会松动脱落),极端情况下还可能造成颌骨病理性骨折,影响面部轮廓和咀嚼功能。
小陈的这颗埋伏牙目前已经紧邻着下前牙的牙根了,若再不处理,不仅下前牙会受牵连,后续治疗难度还会大幅增加。

精准,排雷,三步走
复杂,难搞!
针对小陈情况,口腔诊疗中心立即开展了病例讨论,最终确定了“手术拔除+同期正畸规划”的个性化方案。
整个治疗过程就像一场精准的“排雷行动”,既要完成埋伏牙拔除,还要保证不损伤邻牙牙根及血管。
第一步:
通过数字化三维重建技术,精准定位埋伏牙与神经血管的位置关系。
第二步:
基于三维重建的结果,设计微创手术路径,避开重要解剖结构,拔除异位尖牙。
第三步:
拔除埋伏牙后,立即衔接正畸方案,通过矫正关闭拔牙后留下的间隙,同时调整整体牙齿排列,帮助小陈恢复正常的咬合关系和面部协调度。
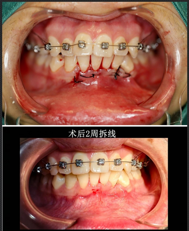
2周后拆线时,小陈伤口恢复非常理想,并未出现神经症状和其他不适。
目前小陈已进入正畸调整阶段,面部轮廓和咀嚼功能都有了显著改善。

其实,小陈的情况并非个例,拔牙尤其是复杂埋伏牙拔除,绝非简单的“一拔了之”,埋伏牙早发现早干预,别等“出事”才重视。
埋伏牙的形成多与牙齿发育异常、颌骨空间不足、乳牙滞留等因素有关。
建议家长定期带孩子做口腔检查,尤其是在儿童和青少年牙齿发育阶段(6-12岁),及时发现滞留乳牙、牙齿萌出异常等问题,尽早干预。
成年人若发现牙齿排列不齐、牙龈反复肿胀或不明原因疼痛,也应及时检查,排除埋伏牙的可能。
(来源:西南医科大学附属中医医院)
编辑:李永鑫
关注川南在线网微信公众号
长按或扫描二维码 ,获取更多最新资讯
其他